審美歯科
白く美しい歯で笑顔に自信を。
審美歯科とは「よく噛める」などの機能性はもちろん、歯の白さや、歯並びといった美しさに焦点を当てた歯科医療のことです。

当院の審美歯科
詰め物
セラミックインレー
自然で透明感のある白色。最も天然の歯の色調に近い色合いが出せます。非常に変色しにくく、長く美しい色を保つことができます。一方で、セラミックは極度の衝撃で割れたりかけたりすることがあり、咬み合わせの状態が悪い方や、食いしばりをする方には合わない可能性もあります。
ハイブリッドインレー
白くて自然な美しさがあります。セラミックと比べるとやや透明感は劣ります。また、セラミックと比べると年月が経つと変色する性質があります。セラミックと樹脂を合わせた材料です。
被せもの
オールセラミッククラウン
自然で透明感のある、美しい素材です。変色しにくく、表面にプラーク(汚れ)が付きにくいため非常に清潔であることも特徴です。また金属を使用していないため金属アレルギーの心配はありません。
メタルボンドクラウン
自然の歯に近い美しい色調です。内側に金属を用いているため、耐久性が非常に高いです。セラミックの部分は汚れが付きにくく、非常に清潔です。内面に金属を用いているため、オールセラミッククラウンと比較するとやや透明感に劣ります。
前歯部のセラミック症例
40代女性 上顎11 メタルボンド
「見た目が良くなって、自信をもって人前に出られるようになりました」

上顎2112 メタルボンド
「長年悩んでいたけど、歯医者さんが怖くて治療に行けなかった。勇気を振り絞って治療を行って、本当に良かった。」

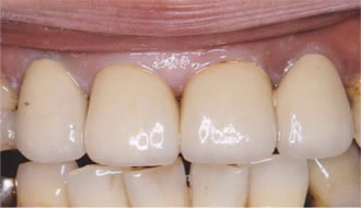
20代女性 右上1、2メタルボンド
「前歯がきれいになったので、奥歯の銀歯もきれいにやり替えたい」

40代女性 ホームホワイトニング + 上顎 1、1メタルボンド
「神経が死んでいて、前歯がずっと気になっていた。全体にホワイトニングしたおかげで、口元がすごく明るい印象になった」

セラミックは破折、ラミネートベニアには破折、脱離の可能性があります。




